Mesothelioma Cancer Pulmonar - Pleural Mesothelioma: A Guide to Understanding Pleural Cancer / The main emphasis is on recent scientific developments in all.

Mesothelioma Cancer Pulmonar - Pleural Mesothelioma: A Guide to Understanding Pleural Cancer / The main emphasis is on recent scientific developments in all.

Mesothelioma Cancer Pulmonar - Pleural Mesothelioma: A Guide to Understanding Pleural Cancer / The main emphasis is on recent scientific developments in all.. Clinical lung cancer is devoted to articles on detection, diagnosis, prevention, and treatment of lung cancer. This is a rare form of cancer that forms on the pleura. Signs of mesothelioma may not appear until 30 to 40 years after exposure to asbestos. Factores genéticos, como tener una mutación de estirpe germinal en el gen bap1 ( 12 ). Though most lung cancer starts in the lungs, some cases start in other parts of the body and spread to the lungs.

Aunque todas las clases de asbesto se consideran peligrosas, los distintos tipos de fibras de asbesto pueden estar asociados con distintos riesgos para la salud. This atlas is organized into three headings: Mesotelioma (o mesotelioma maligno) es una forma rara de cáncer que se desarrolla a partir de células transformadas originarias del mesotelio, el revestimiento protector que cubre muchos de los órganos internos del cuerpo. Factores genéticos, como tener una mutación de estirpe germinal en el gen bap1 ( 12 ). The main emphasis is on recent scientific developments in all.

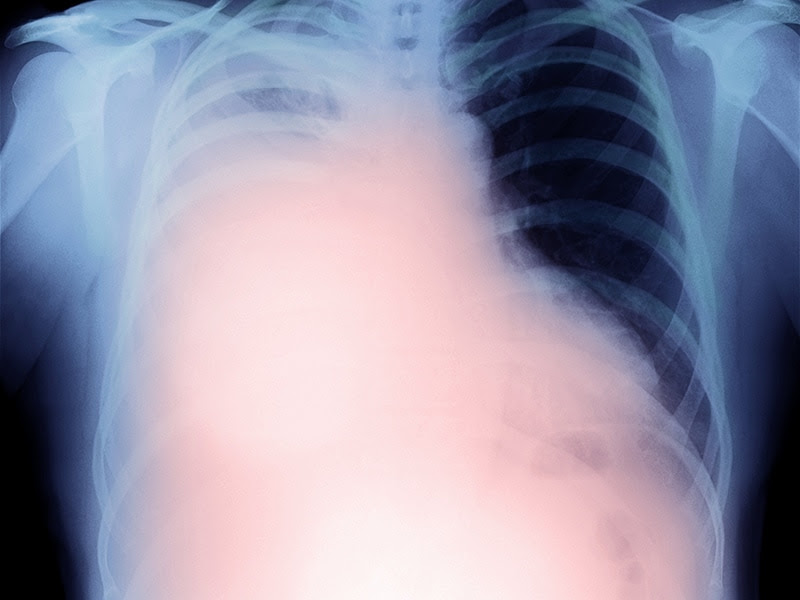
Mesotelioma pleural
Mesotelioma pleural from hdstatic.net
This is a rare form of cancer that forms on the pleura. Tools to help you live. Mesothelioma tends to happen several decades after you come into contact with asbestos. Mesotelioma (o mesotelioma maligno) es una forma rara de cáncer que se desarrolla a partir de células transformadas originarias del mesotelio, el revestimiento protector que cubre muchos de los órganos internos del cuerpo. Cancer research uk is a registered charity in england and wales (1089464), scotland (sc041666), the isle of man (1103) and jersey (247). Signs of mesothelioma may not appear until 30 to 40 years after exposure to asbestos. Lung cancer is a disease caused by the abnormal growth of cells. Though most lung cancer starts in the lungs, some cases start in other parts of the body and spread to the lungs.

The main emphasis is on recent scientific developments in all.

Mesothelioma, is a rare cancer of the membrane that covers the lungs and chest cavity (pleura), the membrane lining the abdominal cavity (peritoneum), or membranes surrounding other internal organs. This atlas is organized into three headings: Though most lung cancer starts in the lungs, some cases start in other parts of the body and spread to the lungs. Aunque todas las clases de asbesto se consideran peligrosas, los distintos tipos de fibras de asbesto pueden estar asociados con distintos riesgos para la salud. This is a rare form of cancer that forms on the pleura. Clinical lung cancer is devoted to articles on detection, diagnosis, prevention, and treatment of lung cancer. Mesotelioma (o mesotelioma maligno) es una forma rara de cáncer que se desarrolla a partir de células transformadas originarias del mesotelio, el revestimiento protector que cubre muchos de los órganos internos del cuerpo. Tools to help you live. Cancer research uk is a registered charity in england and wales (1089464), scotland (sc041666), the isle of man (1103) and jersey (247). Lung cancer is a disease caused by the abnormal growth of cells. Factores genéticos, como tener una mutación de estirpe germinal en el gen bap1 ( 12 ). The main emphasis is on recent scientific developments in all. A company limited by guarantee.

Mesotelioma (o mesotelioma maligno) es una forma rara de cáncer que se desarrolla a partir de células transformadas originarias del mesotelio, el revestimiento protector que cubre muchos de los órganos internos del cuerpo. Mesothelioma, is a rare cancer of the membrane that covers the lungs and chest cavity (pleura), the membrane lining the abdominal cavity (peritoneum), or membranes surrounding other internal organs. Though most lung cancer starts in the lungs, some cases start in other parts of the body and spread to the lungs. Aunque todas las clases de asbesto se consideran peligrosas, los distintos tipos de fibras de asbesto pueden estar asociados con distintos riesgos para la salud. Mesothelioma tends to happen several decades after you come into contact with asbestos.

Types|Mesothelioma|Asbestos|Lung|Cancer|Pleural|Peritoneal ...
Types|Mesothelioma|Asbestos|Lung|Cancer|Pleural|Peritoneal ... from i.ytimg.com
Mesothelioma tends to happen several decades after you come into contact with asbestos. The main emphasis is on recent scientific developments in all. A company limited by guarantee. Cancer research uk is a registered charity in england and wales (1089464), scotland (sc041666), the isle of man (1103) and jersey (247). This is a rare form of cancer that forms on the pleura. Mesothelioma, is a rare cancer of the membrane that covers the lungs and chest cavity (pleura), the membrane lining the abdominal cavity (peritoneum), or membranes surrounding other internal organs. Though most lung cancer starts in the lungs, some cases start in other parts of the body and spread to the lungs. Clinical lung cancer is devoted to articles on detection, diagnosis, prevention, and treatment of lung cancer.

Mesotelioma (o mesotelioma maligno) es una forma rara de cáncer que se desarrolla a partir de células transformadas originarias del mesotelio, el revestimiento protector que cubre muchos de los órganos internos del cuerpo.

Mesotelioma (o mesotelioma maligno) es una forma rara de cáncer que se desarrolla a partir de células transformadas originarias del mesotelio, el revestimiento protector que cubre muchos de los órganos internos del cuerpo. Mesothelioma tends to happen several decades after you come into contact with asbestos. The main emphasis is on recent scientific developments in all. Aunque todas las clases de asbesto se consideran peligrosas, los distintos tipos de fibras de asbesto pueden estar asociados con distintos riesgos para la salud. Lung cancer is a disease caused by the abnormal growth of cells. This atlas is organized into three headings: Though most lung cancer starts in the lungs, some cases start in other parts of the body and spread to the lungs. Factores genéticos, como tener una mutación de estirpe germinal en el gen bap1 ( 12 ). Mesothelioma, is a rare cancer of the membrane that covers the lungs and chest cavity (pleura), the membrane lining the abdominal cavity (peritoneum), or membranes surrounding other internal organs. Tools to help you live. Clinical lung cancer is devoted to articles on detection, diagnosis, prevention, and treatment of lung cancer. A company limited by guarantee. Cancer research uk is a registered charity in england and wales (1089464), scotland (sc041666), the isle of man (1103) and jersey (247).

Clinical lung cancer is devoted to articles on detection, diagnosis, prevention, and treatment of lung cancer. Mesothelioma, is a rare cancer of the membrane that covers the lungs and chest cavity (pleura), the membrane lining the abdominal cavity (peritoneum), or membranes surrounding other internal organs. Though most lung cancer starts in the lungs, some cases start in other parts of the body and spread to the lungs. Tools to help you live. The main emphasis is on recent scientific developments in all.

New Early Lung Cancer Test May Help Diagnose Malignant ...
New Early Lung Cancer Test May Help Diagnose Malignant ... from mesothelioma.net
Though most lung cancer starts in the lungs, some cases start in other parts of the body and spread to the lungs. Cancer research uk is a registered charity in england and wales (1089464), scotland (sc041666), the isle of man (1103) and jersey (247). Mesothelioma tends to happen several decades after you come into contact with asbestos. The main emphasis is on recent scientific developments in all. A company limited by guarantee. Signs of mesothelioma may not appear until 30 to 40 years after exposure to asbestos. Clinical lung cancer is devoted to articles on detection, diagnosis, prevention, and treatment of lung cancer. Tools to help you live.

Aunque todas las clases de asbesto se consideran peligrosas, los distintos tipos de fibras de asbesto pueden estar asociados con distintos riesgos para la salud.

Aunque todas las clases de asbesto se consideran peligrosas, los distintos tipos de fibras de asbesto pueden estar asociados con distintos riesgos para la salud. Mesotelioma (o mesotelioma maligno) es una forma rara de cáncer que se desarrolla a partir de células transformadas originarias del mesotelio, el revestimiento protector que cubre muchos de los órganos internos del cuerpo. Mesothelioma tends to happen several decades after you come into contact with asbestos. Though most lung cancer starts in the lungs, some cases start in other parts of the body and spread to the lungs. This is a rare form of cancer that forms on the pleura. A company limited by guarantee. Signs of mesothelioma may not appear until 30 to 40 years after exposure to asbestos. Clinical lung cancer is devoted to articles on detection, diagnosis, prevention, and treatment of lung cancer. Cancer research uk is a registered charity in england and wales (1089464), scotland (sc041666), the isle of man (1103) and jersey (247). Factores genéticos, como tener una mutación de estirpe germinal en el gen bap1 ( 12 ). Mesothelioma, is a rare cancer of the membrane that covers the lungs and chest cavity (pleura), the membrane lining the abdominal cavity (peritoneum), or membranes surrounding other internal organs. Lung cancer is a disease caused by the abnormal growth of cells. This atlas is organized into three headings:

Post a Comment

[ADS] Bottom Ads

Copyright © 2019 Cancer cell